KOMPONEN SISTEM PEREDARAN DARAH
1.
Darah
Darah merupakan sistem organ yang
berfungsi mengedarkan darah dari jantung
ke selruh bagian tubuh.
Fungsi peredaran darah adalah:
Fungsi peredaran darah adalah:
- Mengangkut zat-zat makanan dan oksigen ke jaringan-jaringan.
- Mengangkut sampah-sampah, nitrogen kedalam ginja dan karbondioksida (CO2) ke paru-paru
- Menjaga ke stabilan tempratur.
- Mengangkut hormon untuk mengkoordinir keteraturan kerja alat-alat tubuh.
- Mencegah terjadinya penggumpalan darah.
- Sebagai pelindung tubuh karena mengandung antibodi.
Darah
adalah suatu cairan yang terdiri dari kira-kira 50% plasma dann 50% sel-sel
darah. Plasma itu terdiri dari kurang
lebih 90& air dan 10% bagian lagi berupa padatan yang terdiri dari protein,
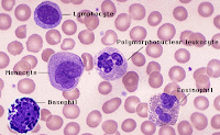
asam amino, garam, karbohidrat, lemak vitamin, hormon dan antibodi. Sel-sel darah terdiri dri 3 jenis yaitu sel-sel darah merah (Eritrosit), sel-sel darah putih (Leukosit) dan keping-keping darah (Trombosit).
a)
Sel
darah merah ( Eritrosit)
Eritrosit
mamalia tidak berinti sehingga tidak memiliki DNA. Eritrosit mamalia berbentuk
bkonkaf, yaitu bentuk cakram dengan bagian tengah agak gepeng. Bentuk ini
berfungsi untuk mengoptimalkan pertukarn oksigen. Warna eritrosit tergantung
pada hemoglobin. Fungsi hemoglobin adalah membantu eritrosit mengikat oksigen
(O2). Jika hemoglobin mengikat O2 maka eritrosit akan
berwarna merah. Dalam 1 mm3 ada kurang lebih 5 juta butir sel darah
merah.
Sel
darah merah di bentuk di sumsum tulang, misalnya di tulang dada, tulang lengan
atas, tulang kaki atas dan tulang pinggul. Sel darh merah tidak dapat hidup
lama, hanya bisa kurang lebih 120 hari.
b)
Sel
darah putih (Leukosit)
Leukosit memiliki inti dan kurang lebih dalam tubuh
ada 8000 leukosit per mm3.
Terdapat lima
jenis leukosit dalam darah yaitu neutrofil, eosinofil, basofil, monosit dan
limfosit. Neutrofil, eosinofil dan basofil memiliki granula-granula sehingga
sering disebut granulosit, sesdangkan limfosit dan mososit disebut agranulosit
(tidak bergranula). Secara umum fungsi
leukosit adalah memakan kuman-kuman penyakit atau benda asing yang masuk ke dalam tubuh dan mengangkut lemak.
c)
Keping-keping
darah (trombosit)
Trombosit
tidak memilii inti dan kurang lebih ada 200-400 ribu per mm3 di
dalam tubuh.
Fungsi utamanya
adalah sebagai sistem pertahanan,yaitu untuk mengaktifkan mekanisme
penggumpalan darah. Pnggumpalan darah adalah proses dimana dinding pembuluh
darah yang rusak ditutupi oleh gumpalan fibrin agar darah berhenti. Penggumpalan darah juga membantu
mempeerbaiki dinding pembuluh darah yang rusak. Secara garis besar proses
pembekuan darah.
d)
Penggolongan
Darah
Walaupun
darah manusia kelihatan sama , akan tetapi bila darah sitransfusikan
pada orang lain
maka penggumpalan pada prosses transfusi
darah tersebut mungkin saja terjadi. Hal ini disebabkan adanya reaksi
antigen-antibosi didalam darah tersebut.
Di dalam darah
merah terdapat 2 antigen (aglutinogen) yaitu A dan B, dan didalam plasmanya
terdapat 2 macam antibodi (aglutinin) yaitu a dan b. Oleh karena itu terdapat 4
macam golongan darah yang dimiliki manusia tergantung pada antigen yang
dikandungnya, apakah satu jenis antigen, kesua-duanya atau tidak memiliki
antigen sama sekali.
Golongan Darah
|
Antigen (Aglutinogen dalam sel darah merah)
|
Antibodi (Aglutinin dalam plasma)
|
A
|
A
|
b = (anti B)
|
B
|
B
|
a = (anti A)
|
AB
|
A dan B
|
-
|
O
|
-
|
Anti A dan anti B
|
Golongan
darah AB disebut sebagai penerima darah umum (recipient universal), artinya
golongan darah ini dapat menerima sesluruh golongan darah lainnya, Goongan
darah O disebut sebagai pemberi darah umum (donor universal), artinya golongan
darah ini dapat memberi pada seluruh golongan drah lainnya.
e)
Rhesus
Faktor
Rhesus
faktor atau Rh adalah suatu antigen peting lainnya yang terdapat di dalam
darah.
Manusia ada yang
mengandung Rh (Rh positif, di tulis Rh+) dan ada yang tidak
mengandung Rh(Rh negatif, ditulis Rh-). Bila darah dengan Rh+
ditransfusikan pada orang yang tidak memiliki Rh (Rh-), maka orang
tersebut akan dibentuk antibodi (anti Rh+). Pada transfusi pertama
mungkin tidak akan terjadi apa-apa atau kecil sekali pengaruhnya. Akan tetapi
bila transfusi yang kedua dan seterusnya dilakukan dengan darah yang sama atau
darah yang mengandung Rh, maka antibodki yang dibentuk akan semakin kuat. Hal
tersebut dapat nmengakibatkan kerusakan sel-sel darah pada orang si penerima
transfusi darah, karena adanya reaksi antara antigen (faktor Rh) dengan
antibodi (anti Rh). Keruusakn tersebut berupa pecahnya sel-sel darah
(hemolisis) yang dapat menggakibatkan kematian bagi orang tersebut.
Bila seorang ibu
dengan Rh – mengandung bayi yng memiliki Rh (Rh+), maka
si ibu akan membentuk antibodi yang dapat merusak eritrosit bayi yang
dikandungnya. Kematian bayi yang dikandungnya biasanya akan terjadi pada
kehamilan kedua dan seterusnys.
2. Pembuluh
darah
Bagaiman
adarah dapat beredar keseluruh tubuh manusia mulai dari jantung hingga mencapai
sel-sel yang terkecil, pada abad ke-17, penyelidikan tentang peredaran darah
telah dilakukan oleh para ahli. Penelitian tersebut menemukan bahwa darah
didalam tubuh mengalir melalui pembuluh-pembuluh darah. Pembuluh balik (vena)
ditemukan oleh seorang ahli fisiologi dari Inggris yakni William Harvey
(1578-1657) beliau mengadakan percobaan dengan mengikat lengan atasnya tepat di
atas siku. Ternyata saat meraba lengan bawah, dia merasakan ada suatu
pembesaran pembuluh yang kemudian dengan berbagai percobaan ahli lain
disimpulkan bahwa pembuluh balik( vena) yang membawa darah menuju jantung. Tiga
puluh tanhun kemudian, seorang ahli anatomi Italia Marcello Malpighi, berhasil
menemulkan adanya pembuluh kapiler.
a) Pembuluh Nadi (Arteri)
Pada
saat jantung berkontraksi (sistol), darah akan keluar dari bilik menuju
pembuluh nadi
(arteri).
Pembuluh nadi adalah pembuluh yang membawa darh dari jantung dan umumnya
mengandung banyak oksigen. Pembuluh ini tebal, elstis, dan memiliki sebuah
katup (Valvula semilunaris) yang berada tepat diluar jantung. Letak pembuluh
nadi biasanya didalam tubuh, hanya beberapa yang terletak di dekat permukaan
sehingga dapat dirasakan denyutnya.
Secara anatomi, pembuluh nadi
tersusun atas tiga lapis jaringan.Lapisan luar berupa jaringan ikat yang kuat
dan elastis. Lapisan tengah berupa otot polos yang berkontraksi secara tak
sadar. Otot polos akan meregang pada saat darah melewatinya sehingga lapisan
ini tidak melipat. Lapisan dalam berupa jaringan endotelium yang melindungi jaringan
didalamnya. Pembuluh nadi yang dilewatidarah adalah sebagai berikut.
- Pembuluh Nadi Besar (Aorta)
Aorta
adalah pembuluh yang dilewati darah dari bilik kiri jantung menuju keseluruh
tubuh.
Aorta
bercabang-cabangh, makin lama makin kecil,, dan disebut pembuluh nadi (Arteri).
Arteri bercabang lagi makin kecil,
disebut Arteriola. Arteriola bercabang halus diseluruh tubuh dan disebut
kapiler.
Kapiler sangat halus dan tersusun
oleh satu lapis jaringan endotelium. Kapiler dapat masuk sampai ke sel-sel tubuh.
Disinilah terjadi pertukaran gas, air, dan garam minereal ataupun larutan bahan
organik dari kapiler darah dengan sel-sel tubuh. Kapiler-kapiler akan saling
bertautan dan berhubungan dengan kapiler vena yang dinamakan venula. Darah yang
telah beredar dari seluruh tubuh melewati venula dan menuju vena yang lebih
besar, kemudian akhirnya menuju vena kava (pembuluh balik tubuh) dan kembali ke
jantung.
- Pembuluh Nadi Paru-paru (Arteri Pulmonalis)
Pembuluh
nadi paru-paru adalah pembuluh yang dilewati darah dari bilik kanan menuju
paru-paru (pulmo).
Pembuluh ini banyak mengandung karbon dioksida yang akan dilepaskan ke
paru-paru. Didalam paru-paru, yaitu di alveolus, darah melepas karbon dioksida
dan mengikat oksigen. Dari kapiler di paru-paru, darah akan menuju ke venula,
kemudian ke vena pulmonalis dan kembali ke jantung.
b. Pembuluh
Balik (Vena)
Pembuluh
balikk adalah pembuluh yang membawa darah kembali ke jantung, yang
umumnya
mengandung karbon dioksida. Pembuluh balik (vena0 lebih mudah dikenali daripada
nadi karena letaaknya di daerah permukaan. Seperti halnya nadi, pembuluh balik
juga disusun oleh tiga lapisan, tetapi dinding pembuluh ini lebih tipis dan
tidak elastis. Tekanan pembuluh balik lebih lemah dibandingkan dengan tekanan
pembuluh nadi dan disepanjang pembuluh balik terdapat katup yang menjaga agar
darah tak kembali.
Saat
jantung berelaksasi (Diastol), darah dari tubuh dan paru-paru akan masukk ke
jantung melalui vena. Pembuluh balik ini merupakan tempat masuknya darah ke
jantung. Vena diselubungi oleh otot rangka dan memili sebuah katup, yaitu
Valvula seminularis.
Pembuluh
balik yang masuk ke jantung adalah sebagai berikut:
- Vena Kava
Vena kava bercabang-cabang menjadi
pembuluh yang lebih kecil, yaitu vena. Vena bercabang-cabang lagi menjadi
kapiler vena yang disebut venula. Venula berada didalam sel-sel tubuh dan
berhubungan dengan kapiler ateri. Ada 2 macam vena kava, yaitu vena kava
superior dan vena kava inferior.
a. Vena
Kava Superior
Vena ini membawa darah yang
mengandung CO2 dari bagian atas tubuh (kepala, leher, dan anggota
badan atas) ke seranbi kanan jantung.
b. Vena
Kava Interior
Vena ini membawa darah yang mengendung
CO2 dari bagian tubuh lainnya dan anggota badan bawah tubuh ke serambi bawah kanan jantung
3. Jantung
Jantung
manusia terletak di rongga dada sebelah kiri, di atas diafragma. Jantung
manusia mempunyai 4 ruang yang terbagi sempurna dan terletak di dalam rongga
dada serta terbungkus oleh perikardia.
Perikardia terdiri dari 2 lapis, yakni lamina
pariestalis (sebelah luar) dan lamina
viseralis (menempel di dinding jantung). Diantara ke dua lapis ini terdapat
lapis kavum perikardia yang berisi cairan perikardia.
Jantung terdiri
dari empat ruang, yakni dua serambi (atrium) dan dua bilik (ventrikel). Pada
dsarnya, fungsi serambi adalah sebagai tempat lewatnya darah dari luar jantung
ke bilik. Akan tetapi, serambi juga dapat berfungsi sebagai pompa yang lemah
sehingga membantu aliran darah dari serambi ke bilik. Bilik memberi tenaga yang
memberi tenaga yang mendorong darah ke paru-paru dan sistem sirkulasi tunbuh.
Jantung dibentuk terutama oleh tiga jenis otot jantung (miokardia), yaitu otot
seranbi, otot bilik, serta serabut otot perangsang dan penghantar khusus.
Pada sekat
antara ke dua serambi terdapat simpul saraf yang merupakan simpul saraf tak
sadar. Simpul saraf ini bercabang-cabang ke otot serambi jantung kemudian ke
luar sebagai suatu berkas yang disebut berkas His. Berkas ini menuju sekat
diantara kedua bilik dan akhirnya bercabang-cabang ke seluruh bilik. Selainitu
, jantung dipenmgaruhi juga oleh saraf simpatetik dan saraf parasimpatetik (nervus vagu). Rangsangan saraf parasimpatetik menurunkan frekuensi denyut jantung, sedangkan rangsangan simpatetik
meningkatkan frekuensi denyut jantung. Otot bilik jantung lebih tebal daripada
otot bagian seranbi dan bagian sebelah kiri lebih tebal dari pada bagian kanan.
Diantara serambi dan
bilik jantung terdapat katup atriolventrikuler (valvula bikuspidalis) yang
berfungsi mencegah aliran daran dari bilik ke serambi selama sisitol. Katup
semilunaris (katup aorta dan pulmonalis) mencegah aliran balik dari aorta dan
arteri pulmonalis ke bilik selama diastol.
Cara keja jantung
Otot-otot jantung bekerja dengan
sendirinya (berkontraksi) tanpa menurut kehendak kita. Pada manusia normal
biasanya jantung berkontraksi 72 kali setiap menit dan memompa darah 60 cm3.
Priode dari suatu air kontraksi hingga akhir kontraksi berikutnya disebut
siklus jantung. Siklus jantung terdiri dari priode relaksasi yang dinamakan
diastos, yaitu jika serambi jantung menguncup dan bilik jantung mengembang.
Pada saat itu, otot bilik mengendur maksimum dan ruang bilik mengembang
maksimum. Priode kontraksi dinamakan sistol, yaitu jika otot bilik jantung
menguncup dan darah didalam bilik di pompa ke pembuluh nadi paru-paru (arteri
pulmonalis) ataupun ke aorta secara bersamaan.
Darah yang dipompa keluar jantung
memiliki kekuatan dankecepatan mengalir tertentu. Kekuatan ini dilanjutkan oleh
pembuluh nadi. Oleh karena otot pembuluh nadi elastis, maka nadi ikut
berdenyut.
Tekanan darah dapat diukur dengan
tensi meter. Yang diukur adalah tekanan sistol (waktu darah keluar jantung) dan
tekanan diastol (waktu darah masuk ke jantung). Pada orang dewasa yang sehat,
umumnya sistol sebesar 120 mmHg dan diastol sebesar 80 mmHg atau dapat juga di
tulis sebagai tekanan arteri = 120/80 (sistol dan diastol). Pada saat itu
tekanan kapiler 30/10 dan tekanan vena 10/0.
Seperti halnya organ-organ lain diseluruh tubuh, jantung
yang terus menerus bekerja juga memerlukan makanan. Makanan itu diperoleh dari
pembuluh nadi tajuk (arteri koronaria).
PEREDARAN DARAH MANUSIA
Ada dua macam peredaran darah dalam
tubuh manusia. Peredaran darah dari bilik kanan jantung menuju paru-paru
melewati arteri pulmonalis dan kembali keserambi kiri jantung melewati vena
pulmonalis disebut peredaran darah kecil.
Sedangakan peredaran darah dari bilik kiri jantung keseluruh tubuh melalui
aorta dan akhirnya kembali keserambi kanan jantung melalui vena kava disebut peredaran darah besar. Oleh karena pada
manusia terdapat kedua macam peredaran darah tersebut, maka manusia dikatakan
memiliki peredaran darah ganda.
Pada
tubuh manusia, sari-sari makanan diedarkan olehh pembuluh darah dan pembuluh
limfa. Kekuatan untuk mengedarkannya ditimbulkan oleh denyut jantung.
Pada saat bayi dalam kandungan
(fetus), jantungnya belum sempurna dan sekat diantara serambi jantung belum
menutup. Pada sekat serambi tersebut terdapat lubang yang disebut Foraman Ovale sehingga arteri yang
menuju paru-paru dan aortabelum sempurna. Dengan demilian, oksigen dan
sari-sari makanan seluruhnya diperoleh dari ibu melalui plasenta.
Ketika bayi lahir, foramen Ovale telah menutup dan
pembuluh-pembuluh darah telah berfungsi. Akan tetapi, kadang-kadangf saat bayi
itu lahir arteri belum berfungsi dan lubang pada sekat diantara serambi belum
menutup. Keadaan ini dinamakan Penyakit jantung bawaan. Bayi yang menderita
penyakit jantung bawaan biasaanya berwarna kebiruan sehingga dikenal sebagai
“Blue baby”. Bayi berwarna biru karena kekurangan oksigen dalam darah. Penyakit
jantung bawaan dapat diatasi dengan pembedahan.
KELAINAN DANGANGGUAN PADA SISTEM PEREDARAN DARAH
Kelainan
dan gangguan pada sistem peredaran darah dapat ditimbulkan karena pewarisan
sifat( keturunan), rusaknya alat peredaran darah akibat kecelakaan, atau akibat
makanan yang dikonsumsi banyak mengandung lemak dan zat kapur. Zat makanan
tersebut dapat menyebabkan penyumbatan pembuluh darah atau berkurangnya
elastisitas otot jantung dalam mekanisme pompa dan isap.
Kelainan atau gangguana pada sistem
peredaran darah antara lain :
- Anemia (kurang darah), dikarenakan kurangnya kadar Hb atau kurannya jumlah eritrosit dalam darah.
- Farises adalah pelebaran pembuluh darah di betis.
- Hemoroid (Ambeyen), adalah pelebaran pembuluh darah disekitar dubur (anus).
- Arteriosklerosis, adalah pengerasan pembuluh nadi karena timbunan atau endapat kapur.
- Atherosklerosis adalah pengerasan pembuluh nadi karena endapan lemak.
- Embolus, adalah tersumbatnya pembuluh darah karena benda yang bergerak.
- Trombus adalah tersumbatnya pembuluh darah karena benda yang tidak bergerak.
- Hemofilia adalah kelainan darah sukar membeku karen afaktor hereditas (keturunan).
- Leukimia (kanker darah) adalah bertambahnya leukosit secara tak terkendali.
- Penyakit kuning pada bayi (Eritroblastosis fetalis) adalah rusaknya eritrosit bayi atau janin akibat aglutinasi dari antibodi ibu, apabila ibu bergolongan darah Rh- dan embrio Rh+. Penyakit ini terjadi pada kandungan kedua, jika kandungan pertama embrio juga bergolongandarah Rh+.
- Penyakit jantung koroner (PJK), yaitu penyempitan arterikoronaria yang mengangkut O2 ke jantung.
- Talasemia merupakan anemia akibat rusaknya gen pembentuk hemoglobin yang bersifat menurun.
Selasa, Februari 07, 2012
Unknown



















0 komentar:
Posting Komentar